口腔是消化道的开端,缺牙引起的咀嚼功能减退,会加重肠胃的负担。长期缺失不修复,邻牙松动,其他健康牙承受压力加大,可能导致二次脱落!在线
咨询
将自体牙完整摘出,移植于自身其它的缺牙部位。供牙包括牙根已发育完成的牙齿,也包括牙根未发育完成的牙齿。相比种植牙,因为是自己的牙齿而且有牙根,咀嚼效率高些,排斥性较小。
好处如此多为什么智齿移植没有广泛应用?因为做自体移植不仅需要手术精湛的牙医更要看自身条件。
详细了解牙齿生长情况
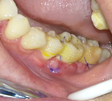
拔掉智齿和缺牙的残根
智齿进行根管治疗
智齿植入手术进行中
查看智齿再生情况
擅长擅长各种缺失牙的种植修复
微创种植、即刻种植
显微根管治疗术
成功实施多例自体牙移植手术
影响美观面容衰老
身体患上慢性胃病
食物嵌塞诱发口臭
加速邻牙倾斜脱落










自体牙移植术