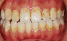
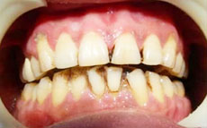
牙周病毁掉的不仅是牙齿,还有身体!
我要预约医生定制治疗方案洁:利用超声波技术,去掉牙齿表面的细菌、牙结石、色素等污垢。
治:防治牙周炎、牙龈炎、牙髓炎、龋齿等口腔疾病。
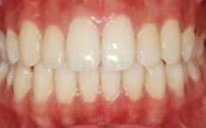
采用超声波能量转换,轻松去除生物膜、细菌和牙石沉积物,对牙齿细胞组织和软组织无任何损害。不仅可清除牙周袋内腐败组织和产物,去除生物膜和龈下结石,去除毒素,同时还完成对牙齿的清洁和抛光,治牙美牙一举两得。
利用比较精细的龈下刮治器械去除位于牙周袋内根面上的牙石、菌斑和病变的牙骨质,以及牙周袋内感染的肉芽组织,使根面光滑,有利于牙龈重新附着于根面,使牙周袋消失。
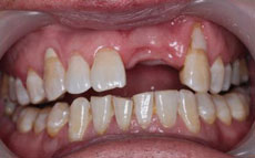
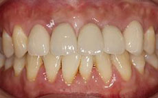
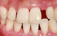
适应症:外伤缺失牙,仅有少量骨缺损,无法进行牙髓治疗的患者。
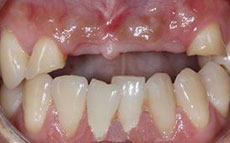
适应症:全口无牙、半口无牙、牙槽骨量不足者。
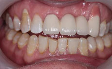
适应症:单颗牙、多颗牙、全口无牙、半口无牙均适用。


















